3f8f0a60 dcbe 4102 9917 00209880c8ba

علائم جوش خوردن ایمپلنت

شماره تماس

021-88026826

آدرس

تهران، میدان فاطمی، بزرگراه شهید گمنام، میدان گلها، ساختمان پزشکان ویدا، طبقه دوم، واحد 8

جوش خوردن ایمپلنت چیست و چرا بررسی علائم آن اهمیت دارد؟

جوش خوردن ایمپلنت به استخوان فک، که با عنوان علمی «اسئواینتگریشن» شناخته می‌شود، مرحله‌ای است که طی آن پایه فلزی ایمپلنت به‌صورت پایدار با استخوان فک پیوند برقرار می‌کند. این فرآیند باعث می‌شود ایمپلنت همانند ریشه طبیعی دندان عمل کند و توانایی تحمل فشارهای جویدن را داشته باشد. بدون این اتصال پایدار، درمان ایمپلنت موفق نخواهد بود.

پس از جراحی ایمپلنت، بسیاری از بیماران در انتظار نشانه‌هایی هستند که نشان دهد ایمپلنت به‌درستی در حال جوش خوردن است. آگاهی از علائم طبیعی جوش خوردن ایمپلنت، به کاهش استرس و تشخیص به‌موقع روند صحیح درمان کمک می‌کند. در مقابل، ناآگاهی از این علائم ممکن است باعث نگرانی بی‌دلیل یا نادیده گرفتن علائم هشداردهنده شود.

بررسی علائم جوش خوردن ایمپلنت اهمیت زیادی دارد، زیرا تشخیص زودهنگام مشکلات احتمالی می‌تواند از شکست درمان جلوگیری کند. زمانی که بیمار بداند چه علائمی طبیعی هستند و کدام وضعیت‌ها نیاز به مراجعه به دندانپزشک دارند، همکاری بهتری در رعایت مراقبت‌های بعد از ایمپلنت خواهد داشت.

نشانه‌های طبیعی بعد از کاشت ایمپلنت

در روزها و هفته‌های ابتدایی پس از جراحی ایمپلنت، بروز برخی علائم کاملاً طبیعی است و به‌تنهایی نشانه موفق یا ناموفق بودن جوش خوردن محسوب نمی‌شود. درد خفیف تا متوسط، تورم لثه و کمی کبودی از واکنش‌های طبیعی بدن به جراحی هستند و معمولاً طی چند روز تا یک هفته کاهش پیدا می‌کنند.

وجود حساسیت در ناحیه ایمپلنت نیز طبیعی است، به‌ویژه هنگام جویدن یا لمس کردن اطراف آن. این حساسیت نباید دائمی یا شدید باشد. کاهش تدریجی درد و حساسیت در هفته اول و دوم، می‌تواند نشانه‌ای از شروع روند ترمیم و جوش خوردن ایمپلنت باشد.

همچنین ممکن است در اثر توصیه پزشک، ایمپلنت برای مدت کوتاهی بدون روکش باقی بماند. در این شرایط، نبود درد شدید، نداشتن التهاب غیرطبیعی و پایدار بودن ایمپلنت در فک از نشانه‌های مهمی هستند که نشان می‌دهند روند ترمیم در مسیر درستی قرار دارد.

56dfe1fe 9a9e 4e10 89e7 12129474da69
علائم اصلی جوش خوردن موفق ایمپلنت

علائم زیر معمولاً نشان‌دهنده جوش خوردن صحیح و موفق ایمپلنت به استخوان فک هستند:

  • کاهش تدریجی درد و تورم در هفته‌های ابتدایی
  • احساس ثبات و نداشتن لق شدگی ایمپلنت
  • نداشتن درد هنگام تماس ایمپلنت با زبان یا غذا
  • سالم و صورتی بودن لثه اطراف ایمپلنت
  • نبود ترشح چرکی یا بوی نامطبوع از ناحیه ایمپلنت
  • توانایی جویدن ملایم بدون درد یا فشار
  • نداشتن خونریزی غیرطبیعی پس از چند روز
  • احساس طبیعی بودن ایمپلنت در فک
  • عدم وجود التهاب مزمن یا قرمزی شدید
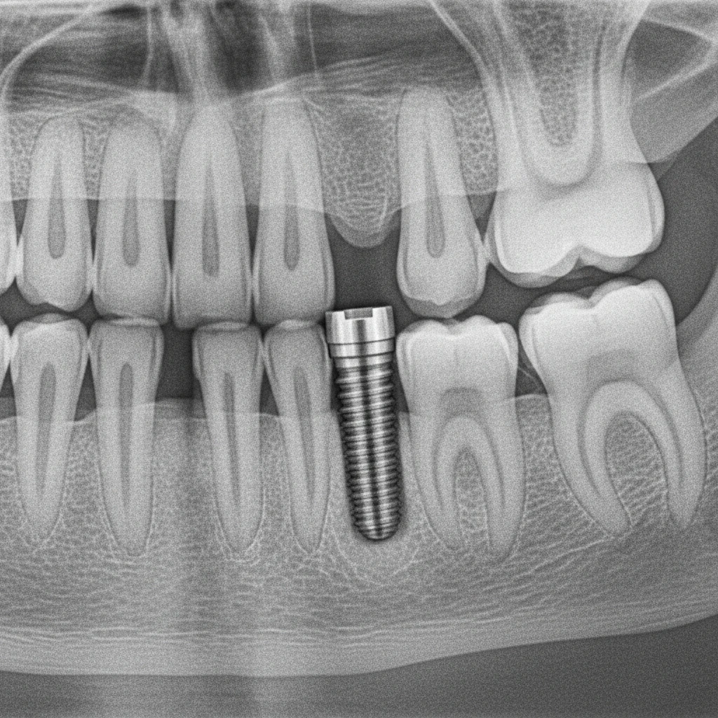
  • تأیید پزشک در معاینات دوره‌ای و تصاویر رادیوگرافی
تفاوت علائم جوش خوردن ایمپلنت با علائم شکست ایمپلنت

یکی از نگرانی‌های رایج بیماران، تشخیص تفاوت بین علائم طبیعی جوش خوردن و نشانه‌های شکست ایمپلنت است. در جوش خوردن موفق، علائم به مرور زمان کاهش پیدا می‌کنند، در حالی که در صورت شکست، درد و التهاب معمولاً افزایش می‌یابد یا پس از یک دوره بهبودی دوباره ظاهر می‌شود.

لق شدن ایمپلنت یکی از مهم‌ترین نشانه‌هایی است که نباید نادیده گرفته شود. ایمپلنتی که به‌درستی جوش می‌خورد، کاملاً ثابت است و هیچ حرکتی ندارد. احساس حرکت، درد هنگام فشار یا تغییر موقعیت ایمپلنت می‌تواند نشانه اختلال در اسئواینتگریشن باشد و نیاز به بررسی فوری دارد.

همچنین ترشح چرک، بوی بد دهان مداوم، خونریزی ادامه‌دار و درد شدید نشانه‌های طبیعی نیستند. این علائم بیشتر به عفونت یا عدم موفقیت جوش خوردن ایمپلنت اشاره دارند. تشخیص به‌موقع این تفاوت‌ها می‌تواند از برداشتن ایمپلنت و جراحی مجدد جلوگیری کند.

زمان‌بندی بروز علائم جوش خوردن ایمپلنت

علائم جوش خوردن ایمپلنت به‌صورت تدریجی ظاهر می‌شوند و معمولاً انتظار مشاهده نشانه واضح در روزهای ابتدایی وجود ندارد. در هفته‌های اول، مهم‌ترین نشانه مثبت کاهش درد، تورم و التهاب است. این مرحله نشان‌دهنده واکنش مناسب بدن به جراحی و آغاز ترمیم بافت‌هاست.

در بازه یک تا سه ماه پس از کاشت ایمپلنت، ثبات ایمپلنت افزایش پیدا می‌کند و بیمار احساس طبیعی‌تری نسبت به آن خواهد داشت. در این مرحله، نبود درد هنگام جویدن ملایم و سالم بودن لثه اطراف ایمپلنت از نشانه‌های مهم جوش خوردن به استخوان فک محسوب می‌شوند.

پس از گذشت سه تا شش ماه، که معمولاً زمان تکمیل اسئواینتگریشن است، ایمپلنت باید کاملاً پایدار باشد. در این زمان، دندانپزشک با معاینه بالینی و بررسی تصاویر رادیولوژی، جوش خوردن موفق ایمپلنت را تأیید کرده و مراحل نهایی درمان مانند نصب روکش انجام می‌شود.

از کجا بفهمیم ایمپلنت به‌خوبی جوش خورده است؟

نبود درد، نداشتن لق شدگی، سالم بودن لثه و تأیید دندانپزشک در معاینه، از مهم‌ترین نشانه‌های جوش خوردن ایمپلنت هستند.

درد خفیف معمولاً تا چند روز طبیعی است، اما درد شدید یا ماندگار نیاز به بررسی توسط دندانپزشک دارد.

در مراحل اولیه ممکن است خفیف باشد، اما اگر فشار همراه با درد یا لق شدگی باشد، باید فوراً بررسی شود.

نوبت دهی تلفنی